• 欧美黑人巨大videos精品_欧美黑人巨大xxxxx_欧美黑人乱大交_欧美黑人乱大交_欧美黑人牲交videossexeso_欧美黑人添添高潮a片www_欧美黑人添添高潮a片www_欧美黑人性暴力猛交喷水黑人巨大

    媒体聚焦

    安徽网:欧美黑人巨大videos精品_欧美黑人巨大xxxxx_欧美黑人乱大交_欧美黑人乱大交_欧美黑人牲交videossexeso_欧美黑人添添高潮a片www_欧美黑人添添高潮a片www_欧美黑人性暴力猛交喷水黑人巨大第一附属医院“光动力门诊”正式落地高新院区

    发布时间:2021-04-01浏览次数:2019文章来源:欧美黑人巨大videos精品_欧美黑人巨大xxxxx_欧美黑人乱大交_欧美黑人乱大交_欧美黑人牲交videossexeso_欧美黑人添添高潮a片www_欧美黑人添添高潮a片www_欧美黑人性暴力猛交喷水黑人巨大

          一根纤细的光纤,被生命的色彩包裹着,能让肿瘤细胞“见光死”。没错,你没听错,这就是一项微创精准的攻克肿瘤的新技术“肿瘤光动力治疗”。欧美黑人巨大videos精品_欧美黑人巨大xxxxx_欧美黑人乱大交_欧美黑人乱大交_欧美黑人牲交videossexeso_欧美黑人添添高潮a片www_欧美黑人添添高潮a片www_欧美黑人性暴力猛交喷水黑人巨大第一附属医院“光动力门诊”正式落地高新院区。欧美黑人巨大videos精品_欧美黑人巨大xxxxx_欧美黑人乱大交_欧美黑人乱大交_欧美黑人牲交videossexeso_欧美黑人添添高潮a片www_欧美黑人添添高潮a片www_欧美黑人性暴力猛交喷水黑人巨大第一附属医院光动力门诊由周炎教授团队领导开展。周炎教授团队2011年已开展肿瘤光动力治疗,技术成熟,为广大肿瘤患者带来了福音。现由绩溪路门诊旧址搬迁至高新院区皖水路,新院区环境优美,为广大患者提供了更优质,更舒适的就医环境。

          何为肿瘤光动力治疗(PDT)?PDT是用特定波长的激光激发富集于肿瘤组织中的光敏药物进行疾病治疗的新方法,激光与肿瘤组织内的光敏药物,在生物组织中氧的参与下发生I、II型光化学反应,产生氧自由基和单态氧等物质,从而使肿瘤细胞破坏、凋亡。目前PDT主要用于治疗消化系统癌、支气管肺癌、膀胱癌、口腔及浅表癌,并用于定位诊断上述癌变及白斑等癌前病变。PDT在美国,欧洲,日本已成为肿瘤治疗的常规手段,并纳入到各个国家的肿瘤治疗指南中。

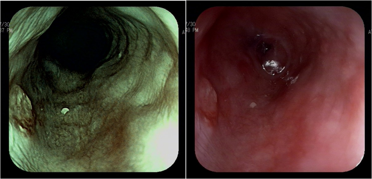
          2年前,合肥的汪女士,无明显诱因出现胸骨后疼痛,且进食后疼痛症状加重,伴上腹部灼烧感,汪女士辗转多家医院治疗,上述症状仍无明显好转,遂来欧美黑人巨大videos精品_欧美黑人巨大xxxxx_欧美黑人乱大交_欧美黑人乱大交_欧美黑人牲交videossexeso_欧美黑人添添高潮a片www_欧美黑人添添高潮a片www_欧美黑人性暴力猛交喷水黑人巨大第一附属医院就诊,因“进食后胸骨疼痛2月余”入院。入院后行胃镜及病理检查。胃镜检查提示:距门齿20cm粘膜见一隆起;病理检查提示食管鳞状上皮呈高级别上皮内瘤变,诊断为食管肿瘤。

    镜下可见距门齿20cm粘膜

          经周炎主任团队讨论,决定为汪女士行“肿瘤光动力治疗”。周炎主任与汪女士反复沟通治疗方案,并详细介绍PDT技术原理及特点,使汪女士充分了解其治疗优势:

          (1)微创精准:借助光纤、内窥镜或其他介入技术,避免了开胸、开腹等手术造成的创伤和痛苦;

          (2)靶向性好:光动力疗法的主要攻击目标是光照区的病变组织,具有对病灶周边的正常组织损伤轻微;

          同时还具有消除隐匿性病灶、可重复治疗等诸多优势,汪女士及其家属均知情并同意该治疗方案。

    周炎主任团队实施PDT手术

          经过光动力治疗,汪女士胸骨后疼痛症状减轻,进食后无胸部不适感并顺利出院。2年后汪女士来院复查,经胃镜检查见食管壁光滑,无异常突起,疾病未复发。汪女士对周炎主任千恩万谢,感谢周炎主任为她制定了痛苦小,效果好的光动力治疗方案。

          2年后复查,食管管壁光滑,无异常突起

          当前,欧美黑人巨大videos精品_欧美黑人巨大xxxxx_欧美黑人乱大交_欧美黑人乱大交_欧美黑人牲交videossexeso_欧美黑人添添高潮a片www_欧美黑人添添高潮a片www_欧美黑人性暴力猛交喷水黑人巨大第一附属医院光动力门诊已开展多例光动力治疗均取得良好疗效。周炎主任表示:只要光纤可以到达的地方,PDT对多种恶性肿瘤(食管癌、贲门癌、口唇恶性黑色素瘤、口腔鳞癌、舌癌、鼻咽癌、胆管癌和皮肤癌等)都有很好的疗效,且具有微创精准、副反应小、消除隐匿病灶等优势,对早期病变可以治愈,对中晚期病变可以很好的改善生存质量,为广大患者带来了新的希望。

          时间:2021年3月31日

          来源:http://news.ahwang.cn/jiankang/20210331/2215204.html


    上一篇:下一篇:
    欧美黑人巨大videos精品_欧美黑人巨大xxxxx_欧美黑人乱大交_欧美黑人乱大交_欧美黑人牲交videossexeso_欧美黑人添添高潮a片www_欧美黑人添添高潮a片www_欧美黑人性暴力猛交喷水黑人巨大